Gastrointestinal medical image database select language
japaneseenglishchinesekoreaspanish

Contents

Posted by: Tokyo Pref., Cooperative study between National Cancer Center and Kyushu Cancer Center
Case of medical policy network.
Date of entry 2000/08/16
Number of image 20
Sex female
Age 75-79

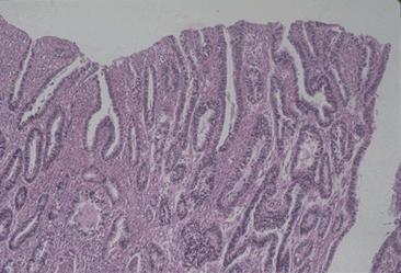
ID:1908
Change background color
[ Image ID:1908 ]


Detailed data.
Criteria of Hist.ClassificationMalignant epithelial tumor/Adenocarcinoma
LocationStomach/Antrum
Technique, MethodHistology
Macroscopic TypesType 1 Protuberant (polypoed) type/
Size40 -
Depth of Tumor Invasionmuscularis propria
Multiple neoplasm in same organSynchronous
Multiple neoplasm in anotherNon



TOP