about this MIDB
NEWS
List of discase
TOP
>
List of disease
>
Neoplasm (Malignant,...
>
Gastric Neoplasms ex...
>
Lymphoma / Malignant...
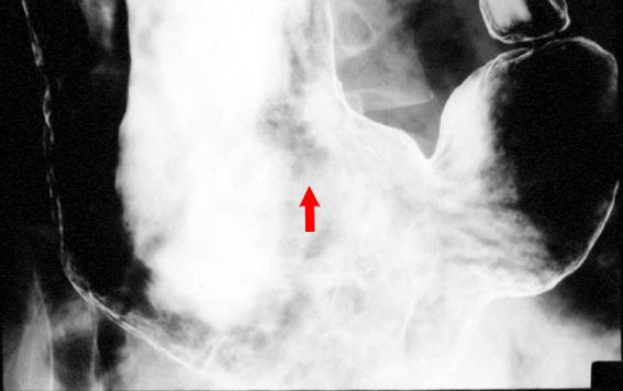
A case of gastric malignant lymphoma showing spontaneous regression without anti cancer drug therapy.
Posted by:
Fukuoka Pref., National Hospital Organization Kyushu Cancer Center
Case of medical policy network.
Case of TIC(Tele Image Conference)
Date of entry
2000/12/05
Number of image
26
Sex
male
Age
35-39
Change background color
[ Image ID:2078 ]
Now translating.
Detailed data.
Criteria of Hist.Classification
Malignant Lymphoma/MLP type
Location
Stomach/Body
Technique, Method
X-ray
Size
20 - 24
Multiple neoplasm in same organ
Synchronous
Multiple neoplasm in another
Non
TOP