Gastrointestinal medical image database select language
japaneseenglishchinesekoreaspanish

Contents

Posted by: Tokyo Pref., Cooperative study between National Cancer Center and Kyushu Cancer Center
Date of entry 2001/01/23
Number of image 17
Sex male
Age -

ID:2194
Change background color
[ Image ID:2194 ]
Now translating.

Detailed data.
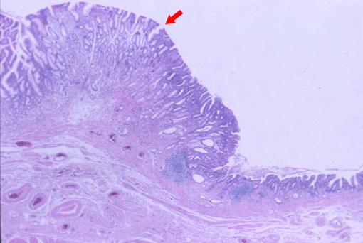
Criteria of Hist.ClassificationMalignant epithelial tumor/Adenocarcinoma
LocationStomach/Antrum
Technique, MethodHistology
Macroscopic TypesType 0/IIc (IIc) Superficial depressed type
Size15 - 19
Depth of Tumor Invasionsubmucosa
Multiple neoplasm in same organNon
Multiple neoplasm in anotherNon



TOP