about this MIDB
NEWS
List of discase
TOP
>
List of disease
>
Metastatic tumors
>
Metastatic small int...
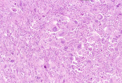
A case of the multiple metastatic tumors of the small intestine from pulmonary large cell carcinoma.
Posted by:
Tokyo Pref., Cooperative study between National Cancer Center and Kyushu Cancer Center
Case of TIC(Tele Image Conference)
Date of entry
2001/11/26
Number of image
22
Sex
male
Age
60-64
Change background color
[ Image ID:2634 ]
Detailed data.
Criteria of Hist.Classification
Metastatic tumors/
Location
Small intestine/Ileum
Technique, Method
Histology
Macroscopic Types
Type 2 Ulcerated type with clear margin/
Size
25 - 29
Depth of Tumor Invasion
muscularis propria
Multiple neoplasm in same organ
Synchronous
Multiple neoplasm in another
Syncronous
TOP