Gastrointestinal medical image database select language
japaneseenglishchinesekoreaspanish

Contents

Posted by: Tokyo Pref., Cooperative study between National Cancer Center and Kyushu Cancer Center
Date of entry 2001/12/27
Number of image 34
Sex male
Age 75-79

ID:2856
Change background color
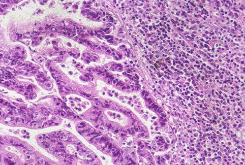
[ Image ID:2856 ]


Detailed data.
Criteria of Hist.ClassificationMalignant epithelial tumor/Adenocarcinoma
LocationLarge intestine(Colon)/Appendix
Technique, MethodHistology
Macroscopic TypesType 2 Ulcerated type with clear margin/
Size25 - 29
Depth of Tumor Invasionserosa (adventitia)
Multiple neoplasm in same organNon
Multiple neoplasm in anotherNon



TOP