about this MIDB
NEWS
List of discase
TOP
>
List of disease
>
Inflammatory or Non-...
>
Gastric Inflammatory...
>
Gastrointestinal Amy...
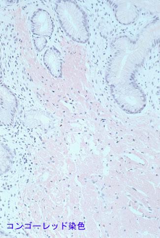
A case of gastric amyloidosis resembling IIc type early gastric cancer.
Posted by:
Tokyo Pref., Cooperative study between National Cancer Center and Kyushu Cancer Center
Date of entry
2002/01/21
Number of image
19
Sex
male
Age
60-64
Misc
1990-1994's case
Change background color
[ Image ID:2919 ]
Detailed data.
Criteria of Hist.Classification
Inflammatory or ulcerative disease / lesions/Amyloidosis
Location
Stomach/Antrum
Technique, Method
Histology
TOP