about this MIDB
NEWS
List of discase
TOP
>
List of disease
>
Neoplasm (Malignant,...
>
Gastric Neoplasms ex...
>
Malignant non-epithe...
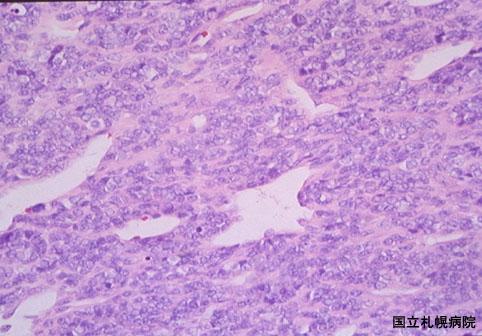
A rare case of extraskeletal mesenchymal chodrosarcoma of the abdomen with a marked compression of the stomach.
Posted by:
Hokkaido Pref., National Hospital Organization Hokkaido Cancer Center
Case of medical policy network.
Date of entry
2002/04/01
Number of image
15
Sex
-
Age
-
Change background color
[ Image ID:3274 ]
Detailed data.
Criteria of Hist.Classification
Malignant non-epithelilal tumors/Other
Location
Other/
Technique, Method
Histology
Size
40 -
TOP