Gastrointestinal medical image database select language
japaneseenglishchinesekoreaspanish

Contents

Posted by: Fukuoka Pref., National Hospital Organization Kyushu Cancer Center
Case of medical policy network.
Date of entry 2002/05/13
Number of image 15
Sex female
Age 80-84

ID:3398
Change background color
[ Image ID:3398 ]
Now translating.

Detailed data.
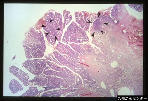
Criteria of Hist.ClassificationMalignant epithelial tumor/Adenocarcinoma
LocationDuodenum/First portion, bulb
Technique, MethodHistology
Macroscopic TypesType 0/I (Ip) Pedunculated type
Size20 - 24
Depth of Tumor Invasionmucosa
Multiple neoplasm in same organNon
Multiple neoplasm in anotherNon



TOP