about this MIDB
NEWS
List of discase
TOP
>
List of disease
>
Inflammatory or Non-...
>
Gastric Inflammatory...
>
Gastric Inflammatory...
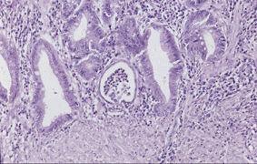
Diffuse inflammatory gastric disease resembling scirrhous advanced stomach cancer.
Posted by:
Fukuoka Pref., National Hospital Organization Kyushu Cancer Center
Case of medical policy network.
Case of TIC(Tele Image Conference)
Date of entry
1999/01/01
Number of image
31
Sex
female
Age
65-69
Change background color
[ Image ID:348 ]
Detailed data.
Criteria of Hist.Classification
Inflammatory or ulcerative disease / lesions/Others
Location
Stomach/More than one of above
Technique, Method
Histology
TOP