about this MIDB
NEWS
List of discase
TOP
>
List of disease
>
Inflammatory or Non-...
>
Gastric Inflammatory...
>
Others
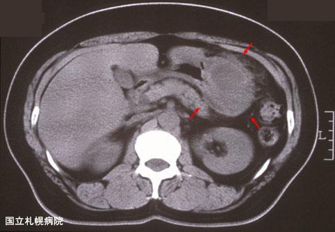
A case of an inflammatory tumor presenting as a gastric submucosal tumor.
Posted by:
Hokkaido Pref., National Hospital Organization Hokkaido Cancer Center
Case of medical policy network.
Date of entry
2002/04/22
Number of image
18
Sex
female
Age
45-49
Change background color
[ Image ID:3744 ]
Detailed data.
Criteria of Hist.Classification
Inflammatory or ulcerative disease / lesions/Others
Location
Stomach/Body
Technique, Method
CT
Size
40 -
Multiple neoplasm in same organ
Non
Multiple neoplasm in another
Non
TOP