about this MIDB
NEWS
List of discase
TOP
>
List of disease
>
Advanced Gastrointes...
>
Advanced colorectal ...
>
Advanced colorectal ...
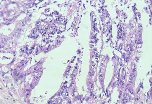
Small type 2 (ulcerated type with clear margin ) advanced colorectal cancer, measuring 1.0cm in size, diagnosed to be advanced cancer from the wall deformity, central depression and submucosal-like appearance of the base.
Posted by:
Tokyo Pref., Cooperative study between National Cancer Center and Kyushu Cancer Center
Date of entry
1999/01/01
Number of image
10
Sex
female
Age
65-69
Change background color
[ Image ID:3806 ]
Detailed data.
Criteria of Hist.Classification
Malignant epithelial tumor/Adenocarcinoma
Location
Large intestine(Colon)/Rectum
Technique, Method
Histology
Macroscopic Types
Type 2 Ulcerated type with clear margin/
Size
10 - 14
Depth of Tumor Invasion
muscularis propria
TOP