about this MIDB
NEWS
List of discase
TOP
>
List of disease
>
Digestive tract poly...
>
Gastrointestinal Pol...
>
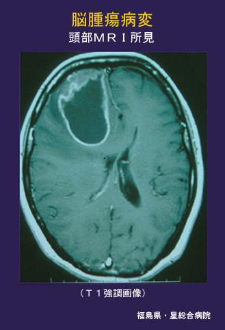
Turcot syndrome
A case of Turcot syndrome associated with hereditary non polyposis colorectal cancer.
Posted by:
Fukushima Pref., Hoshi General Hospital (Dr. 権田, 野水)
Date of entry
2003/02/04
Number of image
21
Sex
female
Age
35-39
Change background color
[ Image ID:4465 ]
Detailed data.
Criteria of Hist.Classification
Turcot syndrome/
Location
Other/
Technique, Method
MRI
Size
40 -
Multiple neoplasm in same organ
Non
Multiple neoplasm in another
Both of Syn. and metachronous
TOP