Gastrointestinal medical image database select language
japaneseenglishchinesekoreaspanish

Contents

Posted by: Fukuoka Pref., National Hospital Organization Kyushu Cancer Center
Case of CPC(Clinical Pathology Conference in National Kyushu Cancer Center)
Date of entry 2003/03/25
Number of image 24
Sex male
Age 50-54

ID:4818
Change background color
[ Image ID:4818 ]


Detailed data.
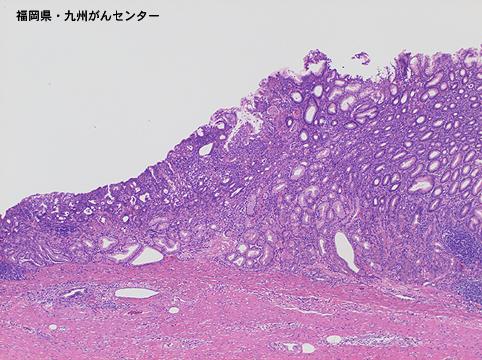
Criteria of Hist.ClassificationMalignant epithelial tumor/Adenocarcinoma
LocationStomach/Angle
Technique, MethodHistology
Macroscopic TypesType 0/IIc (IIc+III) Superficial depressed and excavated type
Size40 -
Depth of Tumor Invasionsubmucosa
Multiple neoplasm in same organNon



TOP