about this MIDB
NEWS
List of discase
TOP
>
List of disease
>
Abnormal findings of...
>
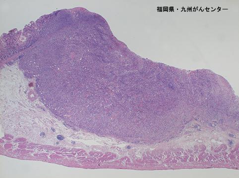
Meckel diverticulum
A case of Meckel diverticulum found during an operation for the gastric cancer.
Posted by:
Fukuoka Pref., National Hospital Organization Kyushu Cancer Center
Case of CPC(Clinical Pathology Conference in National Kyushu Cancer Center)
Date of entry
2003/03/27
Number of image
31
Sex
male
Age
55-59
Change background color
[ Image ID:4850 ]
Detailed data.
Criteria of Hist.Classification
Malignant epithelial tumor/Adenocarcinoma
Location
Stomach/Body
Technique, Method
Histology
Macroscopic Types
Type 5 Unclassfied type/
Size
40 -
Depth of Tumor Invasion
subserosa (subadventitia)
Multiple neoplasm in same organ
Non
Multiple neoplasm in another
Non
TOP