about this MIDB
NEWS
List of discase
TOP
>
List of disease
>
Inflammatory or Non-...
>
Intestinal Inflammat...
>
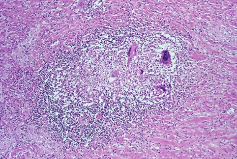
Tuberculosis
Tuberculosis of the ileocecal region which required an operation due to severe stenosis.
Posted by:
Tokyo Pref., Cooperative study between National Cancer Center and Kyushu Cancer Center
Date of entry
1999/01/01
Number of image
10
Sex
-
Age
-
Change background color
[ Image ID:525 ]
Detailed data.
Criteria of Hist.Classification
Inflammatory or ulcerative disease / lesions/tuberculosis
Location
Large intestine(Colon)/Ilenocecal region
Technique, Method
Histology
TOP