about this MIDB
NEWS
List of discase
TOP
>
List of disease
>
Neoplasm (Malignant,...
>
Colorectal Neoplasms...
>
Non-epithelial tumor...
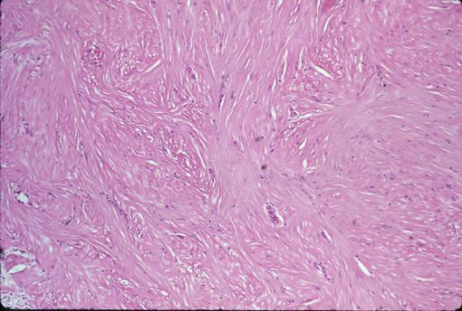
Pedunculated leiomyoma measuring 9mm in size removed by an endoscopical polypectomy.
Posted by:
Tokyo Pref., Cooperative study between National Cancer Center and Kyushu Cancer Center
Date of entry
1999/01/01
Number of image
10
Sex
male
Age
55-59
Change background color
[ Image ID:5463 ]
Detailed data.
Criteria of Hist.Classification
Non-epithelial tumors/Leiomyoma
Location
Large intestine(Colon)/Sigmoid colon
Technique, Method
Histology
Size
1 - 9
Multiple neoplasm in same organ
Non
Multiple neoplasm in another
Non
TOP