Gastrointestinal medical image database select language
japaneseenglishchinesekoreaspanish

Contents

Posted by: Tokyo Pref., Cooperative study between National Cancer Center and Kyushu Cancer Center
Date of entry 2003/08/08
Number of image 28
Sex male
Age 55-59
Misc 1970-1974's case

ID:5540
Change background color
[ Image ID:5540 ]


Detailed data.
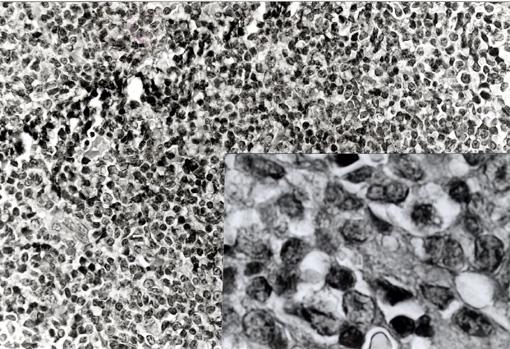
Criteria of Hist.ClassificationMalignant Lymphoma/Malignant lymphoma
LocationLarge intestine(Colon)/Sigmoid colon
Technique, MethodHistology
Size15 - 19
Multiple neoplasm in same organSynchronous
Multiple neoplasm in anotherSyncronous



TOP