about this MIDB
NEWS
List of discase
TOP
>
List of disease
>
Inflammatory or Non-...
>
Gastrointestinal Par...
>
Anisakis
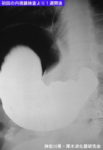
A case of gastrin anisakis mimicking a type IIc early gastric cancer (1980's).
Posted by:
Kanagawa Pref., 厚木消化器研究会
Date of entry
2003/09/16
Number of image
16
Sex
male
Age
40-44
Misc
1980-1984's case
Change background color
[ Image ID:5803 ]
Detailed data.
Criteria of Hist.Classification
Gastrointinal Parasite/Anisakis
Location
Stomach/Other
Technique, Method
X-ray
TOP