about this MIDB
NEWS
List of discase
TOP
>
List of disease
>
Neoplasm (Malignant,...
>
Colorectal Neoplasms...
>
Non-epithelial tumor...
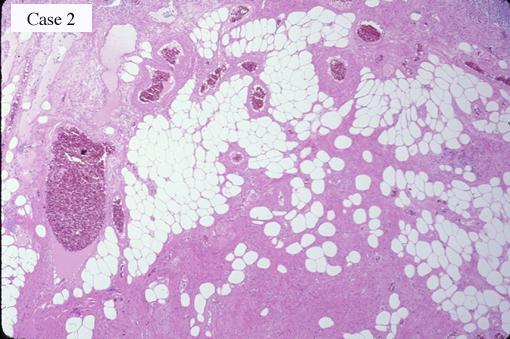
Two cases of angiolipoma which were removed endoscopically.
Posted by:
Tokyo Pref., Cooperative study between National Cancer Center and Kyushu Cancer Center
Date of entry
1999/01/01
Number of image
13
Sex
-
Age
-
Change background color
[ Image ID:5820 ]
Detailed data.
Criteria of Hist.Classification
Non-epithelial tumors/Angiolipoma
Technique, Method
Histology
TOP