Gastrointestinal medical image database select language
japaneseenglishchinesekoreaspanish

Contents

Posted by: Tokyo Pref., Cooperative study between National Cancer Center and Kyushu Cancer Center
Date of entry 2003/10/27
Number of image 20
Sex male
Age 75-79
Misc 1990-1994's case

ID:6069
Change background color
[ Image ID:6069 ]


Detailed data.
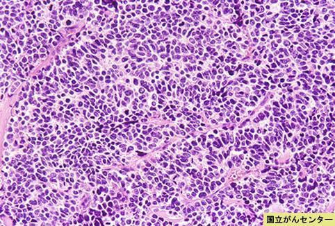
Criteria of Hist.ClassificationMalignant epithelial tumor/Undifferentiated carcinoma
LocationLarge intestine(Colon)/Ascending colon
Technique, MethodHistology
Macroscopic TypesType 5 Unclassfied type/
Size40 -
Depth of Tumor Invasionserosa (adventitia)
Multiple neoplasm in same organNon
Multiple neoplasm in anotherNon



TOP