Gastrointestinal medical image database select language
japaneseenglishchinesekoreaspanish

Contents

Posted by: Fukuoka Pref., National Hospital Organization Kyushu Cancer Center
Case of medical policy network.
Date of entry 2003/12/11
Number of image 18
Sex female
Age 50-54

ID:6415
Change background color
[ Image ID:6415 ]


Detailed data.
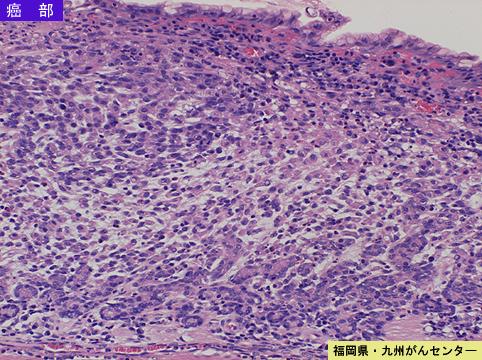
Criteria of Hist.ClassificationMalignant epithelial tumor/Adenocarcinoma
LocationStomach/Body
Technique, MethodHistology
Macroscopic TypesType 0/IIc (IIc) Superficial depressed type
Size25 - 29
Depth of Tumor Invasionsubmucosa
Multiple neoplasm in same organNon
Multiple neoplasm in anotherNon



TOP