about this MIDB
NEWS
List of discase
TOP
>
List of disease
>
Tumor-like lesions
>
Tumor-like lesions /...
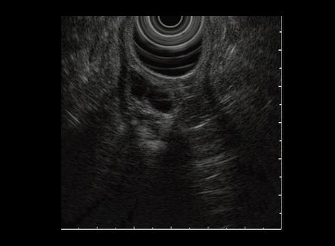
A case of heterotopic pancreas in the stomach.
Posted by:
Chiba Pref., National Cancer Center Hospital East (Dr. 細川, 土井ら)
Case of medical policy network.
Date of entry
2004/03/11
Number of image
18
Sex
female
Age
55-59
Change background color
[ Image ID:6956 ]
Detailed data.
Criteria of Hist.Classification
Tumor-like lesions/ectopic mucosa
Location
Stomach/Antrum
Technique, Method
Ultrasonography
Size
30 - 34
TOP