about this MIDB
NEWS
List of discase
TOP
>
List of disease
>
Digestive tract poly...
>
Diseases resempling ...
>
Multiple Lymphomatou...
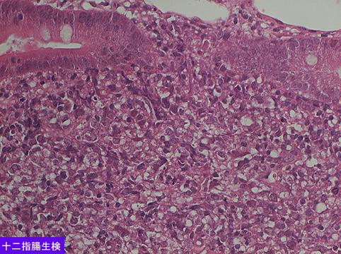
A case of MLP (multiple lymphomatous polyposis) type malignant lymphoma in which multiple lesions developed in the stomach, duodenum, and large intestine.
Posted by:
Fukuoka Pref., National Hospital Organization Kyushu Cancer Center
Case of medical policy network.
Date of entry
2004/04/06
Number of image
24
Sex
female
Age
70-74
Change background color
[ Image ID:7139 ]
Detailed data.
Criteria of Hist.Classification
Malignant Lymphoma/MLP type
Location
Duodenum/First portion, bulb
Technique, Method
Histology
Size
20 - 24
Multiple neoplasm in same organ
Both of Syn. and metachronous
Multiple neoplasm in another
Non
TOP