Gastrointestinal medical image database select language
japaneseenglishchinesekoreaspanish

Contents

Posted by: Tokyo Pref., Cooperative study between National Cancer Center and Kyushu Cancer Center
Case of medical policy network.
Case of TIC(Tele Image Conference)
Date of entry 2004/05/27
Number of image 33
Sex male
Age 55-59
Misc 1990-1994's case

ID:7320
Change background color
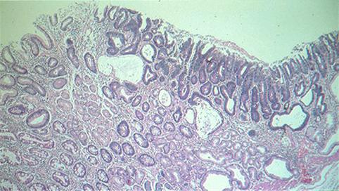
[ Image ID:7320 ]


Detailed data.
Criteria of Hist.ClassificationMalignant epithelial tumor/Adenocarcinoma
LocationStomach/Angle
Technique, MethodHistology
Macroscopic TypesType 0/IIa (IIa+IIc) Superficial elevated and depressed type
Size30 - 34
Depth of Tumor Invasionmucosa
Multiple neoplasm in same organNon
Multiple neoplasm in anotherNon



TOP