about this MIDB
NEWS
List of discase
TOP
>
List of disease
>
Inflammatory or Non-...
>
Intestinal Inflammat...
>
Tuberculosis
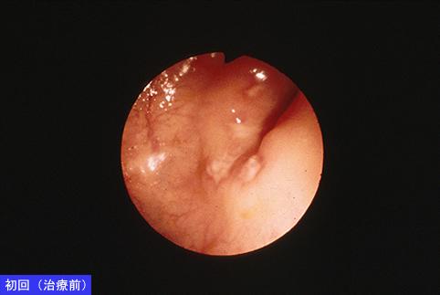
A case of colonic tuberuculosis which was almost completely cured by antituberuculosis medicine.
Posted by:
Tokyo Pref., Cooperative study between National Cancer Center and Kyushu Cancer Center
Date of entry
2004/05/31
Number of image
24
Sex
female
Age
55-59
Misc
1980-1984's case
Change background color
[ Image ID:7340 ]
Detailed data.
Criteria of Hist.Classification
Inflammatory or ulcerative disease / lesions/tuberculosis
Location
Large intestine(Colon)/Ascending colon
Technique, Method
Endoscopy
Size
1 - 9
TOP