Gastrointestinal medical image database select language
japaneseenglishchinesekoreaspanish

Contents

Posted by: Fukuoka Pref., National Hospital Organization Kyushu Cancer Center
Case of medical policy network.
Date of entry 2004/06/15
Number of image 26
Sex male
Age 45-49

ID:7398
Change background color
[ Image ID:7398 ]


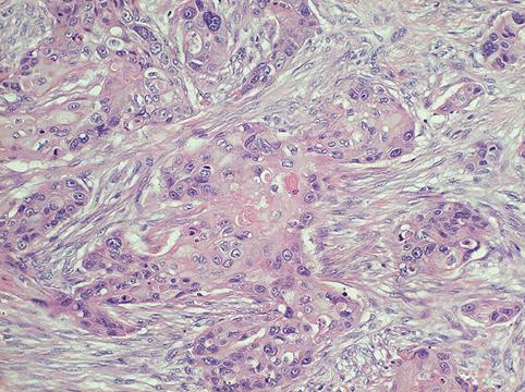
Detailed data.
Criteria of Hist.ClassificationMalignant epithelial tumor/Squamous cell carcinoma
LocationEsophagus/More than one of the above
Technique, MethodHistology
Macroscopic TypesType 5 Unclassfied type/
Size40 -
Depth of Tumor Invasionmuscularis propria
Multiple neoplasm in same organNon
Multiple neoplasm in anotherNon



TOP