about this MIDB
NEWS
List of discase
TOP
>
List of disease
>
Metastatic tumors
>
Metastatic large int...
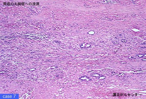
Ten cases of disseminated metastasis to the large intestine from gastric carcinoma.
Posted by:
Tokyo Pref., Cooperative study between National Cancer Center and Kyushu Cancer Center
Date of entry
2004/06/21
Number of image
23
Sex
-
Age
-
Misc
1980-1984's case
Change background color
[ Image ID:7418 ]
Detailed data.
Criteria of Hist.Classification
Metastatic tumors/
Location
Large intestine(Colon)/Transverse colon
Technique, Method
Histology
Size
40 -
TOP