about this MIDB
NEWS
List of discase
TOP
>
List of disease
>
Tumor-like lesions
>
Other tumor-like les...
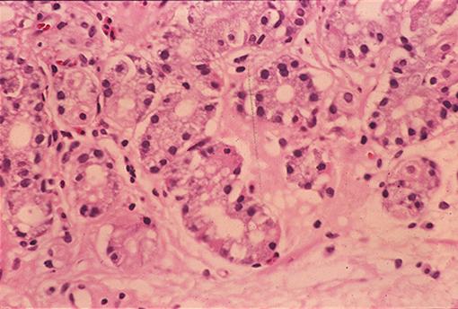
A case of ectopic gastric mucosa which developed in the rectum.
Posted by:
Tokyo Pref., National Cancer Center
Date of entry
2004/10/28
Number of image
21
Sex
male
Age
-
Change background color
[ Image ID:7695 ]
Detailed data.
Criteria of Hist.Classification
Tumor-like lesions/ectopic mucosa
Location
Large intestine(Colon)/Rectum
Technique, Method
Histology
Size
10 - 14
TOP