about this MIDB
NEWS
List of discase
TOP
>
List of disease
>
Neoplasm (Malignant,...
>
Small Intestinal Neo...
>
Malignant non-epithe...
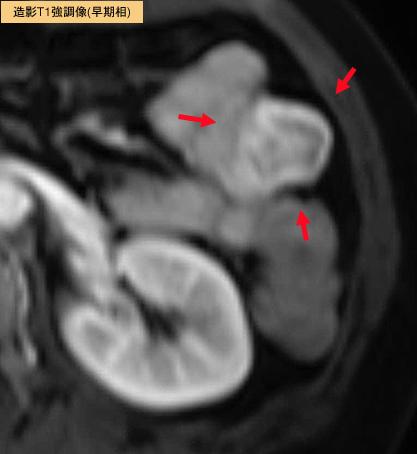
A case of a gastrointestinal stromal tumor (GIST) in the jejunum.
Posted by:
Fukuoka Pref., National Hospital Organization Kyushu Medical Center (Dr.平賀)
Case of medical policy network.
Date of entry
2004/11/29
Number of image
16
Sex
female
Age
40-44
Change background color
[ Image ID:7773 ]
Detailed data.
Criteria of Hist.Classification
Malignant non-epithelilal tumors/Leiomyosarcoma (including GIST)
Location
Small intestine/Ileum
Technique, Method
MRI
Size
30 - 34
Depth of Tumor Invasion
serosa (adventitia)
Multiple neoplasm in same organ
Non
Multiple neoplasm in another
Non
TOP