Gastrointestinal medical image database select language
japaneseenglishchinesekoreaspanish

Contents

Posted by: Fukuoka Pref., National Hospital Organization Kyushu Cancer Center
Case of medical policy network.
Date of entry 2004/12/28
Number of image 18
Sex male
Age 60-64

ID:7847
Change background color
[ Image ID:7847 ]


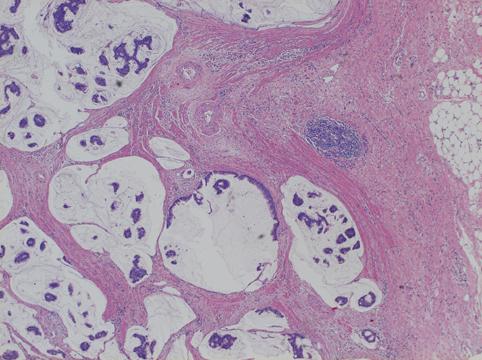
Detailed data.
Criteria of Hist.ClassificationMalignant epithelial tumor/Mucinous carcinoma
LocationLarge intestine(Colon)/Rectum
Technique, MethodHistology
Macroscopic TypesType 1 Protuberant (polypoed) type/
Size40 -
Depth of Tumor Invasionsubserosa (subadventitia)
Multiple neoplasm in same organNon
Multiple neoplasm in anotherNon



TOP