Gastrointestinal medical image database select language
japaneseenglishchinesekoreaspanish

Contents

Date of entry 2005/01/11
Number of image 18
Sex male
Age 70-74

ID:7880
Change background color
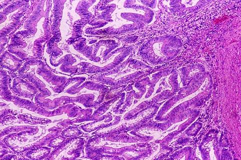
[ Image ID:7880 ]


Detailed data.
Criteria of Hist.ClassificationMalignant epithelial tumor/Adenocarcinoma
LocationLarge intestine(Colon)/Cecum
Technique, MethodHistology
Macroscopic TypesType 1 Protuberant (polypoed) type/
Size40 -
Depth of Tumor Invasionserosa (adventitia)
Multiple neoplasm in same organNon
Multiple neoplasm in anotherNon



TOP