about this MIDB
NEWS
List of discase
TOP
>
List of disease
>
Neoplasm (Malignant,...
>
Gastric Neoplasms ex...
>
Lymphoma / Malignant...
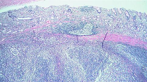
A case of gastric low-grade MALT lymphoma in which Helicobacter pylori eradication was ineffective and a gastrectomy was performed.
Posted by:
Tokyo Pref., Cooperative study between National Cancer Center and Kyushu Cancer Center
Case of medical policy network.
Case of TIC(Tele Image Conference)
Date of entry
2005/03/17
Number of image
23
Sex
male
Age
70-74
Misc
1995-1999's case
Change background color
[ Image ID:8127 ]
Detailed data.
Criteria of Hist.Classification
Malignant Lymphoma/Malignant lymphoma
Location
Stomach/Body
Technique, Method
Histology
Depth of Tumor Invasion
submucosa
Multiple neoplasm in same organ
Non
Multiple neoplasm in another
Non
TOP