Gastrointestinal medical image database select language
japaneseenglishchinesekoreaspanish

Contents

Posted by: Tokyo Pref., Cooperative study between National Cancer Center and Kyushu Cancer Center
Case of medical policy network.
Case of TIC(Tele Image Conference)
Date of entry 2005/04/04
Number of image 31
Sex male
Age -
Misc 1995-1999's case

ID:8210
Change background color
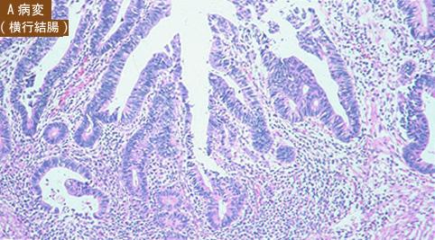
[ Image ID:8210 ]


Detailed data.
Criteria of Hist.ClassificationMalignant epithelial tumor/Adenocarcinoma
LocationLarge intestine(Colon)/Transverse colon
Technique, MethodHistology
Macroscopic TypesType 0/IIa (IIa+IIc) Superficial elevated and depressed type
Size15 - 19
Depth of Tumor Invasionsubmucosa
Multiple neoplasm in same organSynchronous
Multiple neoplasm in anotherNon



TOP