Gastrointestinal medical image database select language
japaneseenglishchinesekoreaspanish

Contents

Posted by: Tokyo Pref., Cooperative study between National Cancer Center and Kyushu Cancer Center
Case of medical policy network.
Case of TIC(Tele Image Conference)
Date of entry 2005/05/17
Number of image 21
Sex female
Age 50-54
Misc 1995-1999's case

ID:8328
Change background color
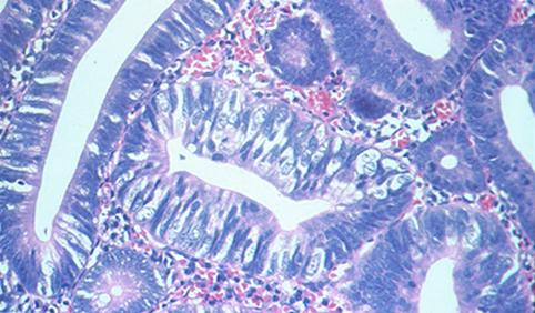
[ Image ID:8328 ]


Detailed data.
Criteria of Hist.ClassificationMalignant epithelial tumor/Adenocarcinoma
LocationLarge intestine(Colon)/Descending colon
Technique, MethodHistology
Macroscopic TypesType 0/I (Is) Sessile type
Size20 - 24
Depth of Tumor Invasionmucosa
Multiple neoplasm in same organNon
Multiple neoplasm in anotherNon



TOP