about this MIDB
NEWS
List of discase
TOP
>
List of disease
>
Tumor-like lesions
>
Tumor-like lesions /...
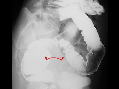
A case of intestinal endometriosis with severe stenosis of the sigmoid colon.
Posted by:
Fukuoka Pref., National Hospital Organization Kyushu Cancer Center
Case of medical policy network.
Date of entry
2005/06/23
Number of image
16
Sex
female
Age
35-39
Change background color
[ Image ID:8461 ]
Detailed data.
Criteria of Hist.Classification
Tumor-like lesions/Endometriosis
Location
Large intestine(Colon)/Sigmoid colon
Technique, Method
X-ray
Size
40 -
TOP