about this MIDB
NEWS
List of discase
TOP
>
List of disease
>
Tumor-like lesions
>
Tumor-like lesions /...
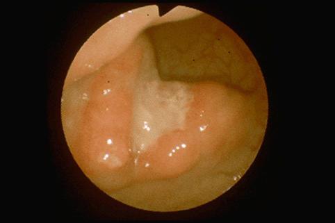
Colitis cystica profunda located mainly in the anterior wall of the rectum.
Posted by:
Tokyo Pref., Cooperative study between National Cancer Center and Kyushu Cancer Center
Case of TIC(Tele Image Conference)
Date of entry
1999/01/01
Number of image
19
Sex
female
Age
-
Change background color
[ Image ID:870 ]
Detailed data.
Criteria of Hist.Classification
Tumor-like lesions/Colitis cystica profunda
Location
Large intestine(Colon)/Rectum
Technique, Method
Endoscopy
Size
35 - 40
TOP