Gastrointestinal medical image database select language
japaneseenglishchinesekoreaspanish

Contents

Posted by: Tokyo Pref., Cooperative study between National Cancer Center and Kyushu Cancer Center
Case of medical policy network.
Date of entry 2006/02/01
Number of image 17
Sex male
Age 40-44
Misc 1980-1984's case

ID:8981
Change background color
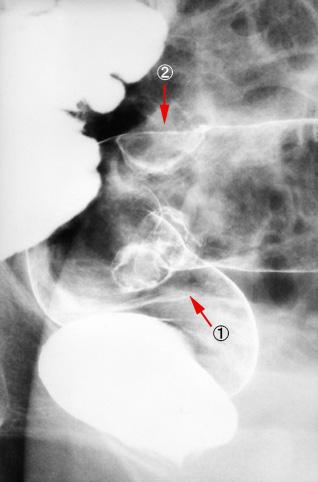
[ Image ID:8981 ]


Detailed data.
Criteria of Hist.ClassificationMalignant epithelial tumor/Adenocarcinoma
LocationLarge intestine(Colon)/Rectum
Technique, MethodX-ray
Macroscopic TypesType 2 Ulcerated type with clear margin/
Size25 - 29
Depth of Tumor Invasionmuscularis propria
Multiple neoplasm in same organSynchronous
Multiple neoplasm in anotherNon



TOP