about this MIDB
NEWS
List of discase
TOP
>
List of disease
>
Neoplasm (Malignant,...
>
Gastric Neoplasms ex...
>
Lymphoma / Malignant...
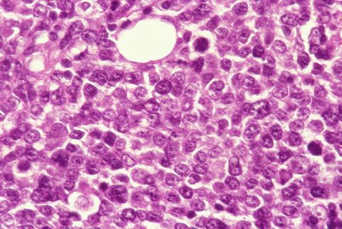
A case of so-called early gastric malignant lymphoma which characteristically showed various features.
Posted by:
Tokyo Pref., Cooperative study between National Cancer Center and Kyushu Cancer Center
Case of medical policy network.
Date of entry
2006/03/28
Number of image
19
Sex
female
Age
50-54
Misc
1985-1989's case
Change background color
[ Image ID:9136 ]
Detailed data.
Criteria of Hist.Classification
Malignant Lymphoma/Malignant lymphoma
Location
Stomach/More than one of above
Technique, Method
Histology
Size
40 -
Depth of Tumor Invasion
submucosa
Multiple neoplasm in same organ
Non
Multiple neoplasm in another
Non
TOP