Gastrointestinal medical image database select language
japaneseenglishchinesekoreaspanish

Contents

Posted by: Fukuoka Pref., National Hospital Organization Kyushu Cancer Center
Case of medical policy network.
Date of entry 2006/04/11
Number of image 13
Sex male
Age 65-69
Misc 2000-2004's case

ID:9141
Change background color
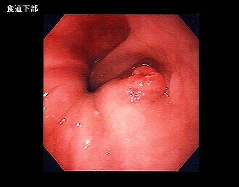
[ Image ID:9141 ]


Detailed data.
Criteria of Hist.ClassificationMalignant epithelial tumor/Adenocarcinoma
LocationStomach/Gastroesophageal junction
Technique, MethodEndoscopy
Macroscopic TypesType 2 Ulcerated type with clear margin/
Size40 -
Depth of Tumor Invasionserosa (adventitia)
Multiple neoplasm in same organNon
Multiple neoplasm in anotherNon



TOP