Gastrointestinal medical image database select language
japaneseenglishchinesekoreaspanish

Contents

Posted by: Fukuoka Pref., National Hospital Organization Kyushu Cancer Center
Case of medical policy network.
Date of entry 2006/06/06
Number of image 35
Sex male
Age 70-74
Misc 2000-2004's case

ID:9235
Change background color
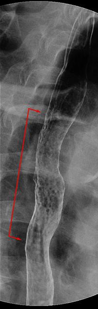
[ Image ID:9235 ]


Detailed data.
Criteria of Hist.ClassificationMalignant epithelial tumor/Squamous cell carcinoma
LocationEsophagus/Middle third
Technique, MethodX-ray
Macroscopic TypesType 0/IIc (IIc) Superficial depressed type
Size40 -
Depth of Tumor Invasionmucosa
Multiple neoplasm in same organNon
Multiple neoplasm in anotherNon



TOP