about this MIDB
NEWS
List of discase
TOP
>
List of disease
>
Digestive tract poly...
>
Lisions resempling g...
>
Inflammatory polypos...
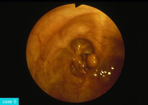
Seven cases of inflammatory polyposis recognized in intestinal tuberculosis.
Posted by:
Tokyo Pref., Cooperative study between National Cancer Center and Kyushu Cancer Center
Date of entry
2006/06/27
Number of image
15
Sex
-
Age
-
Change background color
[ Image ID:9282 ]
Detailed data.
Criteria of Hist.Classification
Tumor-like lesions/Inflammatory polyposis
Location
Large intestine(Colon)/Ascending colon
Technique, Method
Endoscopy
Size
1 - 9
TOP