about this MIDB
NEWS
List of discase
TOP
>
List of disease
>
Neoplasm (Malignant,...
>
Colorectal Neoplasms...
>
Benign epithelial tu...
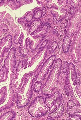
A case of adenoma occurring in the inverted appendix which intussuscepted into the ascending colon.
Posted by:
Fukuoka Pref., MUNAKATA MEDICAL ASSOCIATION (Dr.Yoshida)
Gastrointestinal case conference
Date of entry
2006/11/16
Number of image
36
Sex
female
Age
65-69
Misc
1995-1999's case
Change background color
[ Image ID:9519 ]
Detailed data.
Criteria of Hist.Classification
Tumor-like lesions/Others
Location
Large intestine(Colon)/Appendix
Technique, Method
Histology
Size
40 -
Multiple neoplasm in same organ
Non
Multiple neoplasm in another
Non
TOP