about this MIDB
NEWS
List of discase
TOP
>
List of disease
>
Inflammatory or Non-...
>
Intestinal Inflammat...
>
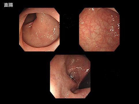
Ulcerative colitis
A case of ulcerative colitis with diffuse ulcerative gastritis.
Posted by:
Saga Pref., Saga Medical School Faculty of Medicine,Saga University. (Dr.Mizuguchi)
Gastrointestinal case conference
Date of entry
2006/11/28
Number of image
29
Sex
male
Age
40-44
Misc
2000-2004's case
Change background color
[ Image ID:9533 ]
Detailed data.
Criteria of Hist.Classification
Inflammatory or ulcerative disease / lesions/Ulcerative colitis
Location
Large intestine(Colon)/Rectum
Technique, Method
Endoscopy
Size
40 -
TOP