about this MIDB
NEWS
List of discase
TOP
>
List of disease
>
Neoplasm (Malignant,...
>
Colorectal Neoplasms...
>
Nodule-aggregated tu...
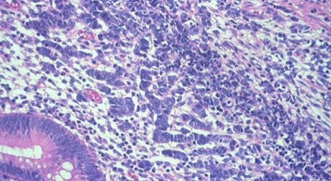
A case of an nodule-aggregated tumor with adenocarcinoma which developed in the cecum (1990's).
Posted by:
Tokyo Pref., Cooperative study between National Cancer Center and Kyushu Cancer Center
Case of medical policy network.
Case of TIC(Tele Image Conference)
Date of entry
2004/03/29
Number of image
22
Sex
male
Age
-
Misc
1990-1994's case
Change background color
[ Image ID:9595 ]
Detailed data.
Location
Large intestine(Colon)/Cecum
Technique, Method
Histology
Macroscopic Types
Type 0/Others
Size
20 - 24
Depth of Tumor Invasion
submucosa
Multiple neoplasm in same organ
Non
Multiple neoplasm in another
Non
TOP