about this MIDB
NEWS
List of discase
TOP
>
List of disease
>
Digestive tract poly...
>
Diseases resempling ...
>
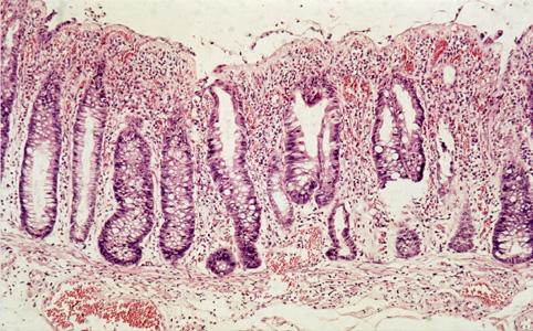
cap polyposis
A case of cap polyposis in the rectum and sigmoid colon.
Posted by:
Hokkaido Pref., Hokkaido P.W.F.A.C Sapporo-Kosei general Hospital (Dr.Imamura)
Date of entry
2007/02/23
Number of image
19
Sex
female
Age
65-69
Misc
2000-2004's case
Change background color
[ Image ID:9887 ]
Detailed data.
Criteria of Hist.Classification
Inflammatory or ulcerative disease / lesions/Others
Location
Large intestine(Colon)/Rectum
Technique, Method
Histology
Size
10 - 14
TOP