about this MIDB
NEWS
Lista de Enfermedades
TOP
>
Lista de Enfermedade...
>
Enfermedades - Lesio...
>
Lesión - Enfermedad ...
>
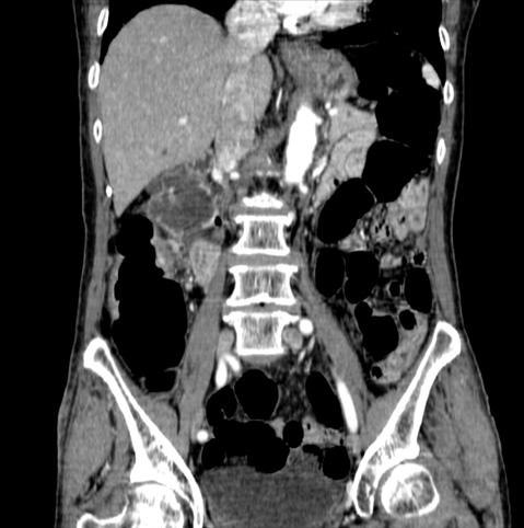
Tuberculosis Intesti...
Tuberculosis del Colon que mostró en su esta primaria la semejanza a O-IIc
Posted by:
Fukuoka Pref., KYUSHU UNIVERSITY HOSPITAL (KYUSHU UNIVERSITY HOSPITAL )
Gastrointestinal case conference
fecha de registro
2008/10/31
Number of image
24
Género
femenino
Edad
80-84
Misc
2005-2009's case
cambio del color de fondo
[Image-ID:10652]
clasificación del paciente
Enfermedad Inflamatoria - Ulcerativa/Tuberculosis
parte(separada por órganos)
colon/ascendente
método de exámen
Resonancia Magnética
diámetro mayor del tumor
40 -
TOP