Gastrointestinal medical image database select language
japaneseenglishchinesekoreaspanish

Contents

Posted by: Fukuoka Pref., Centro Kyushu de Curaciones de Cáncer
Gastrointestinal case conference
fecha de registro 2009/04/10
Number of image 25
Género masculino
Edad 55-59
Misc 2005-2009's case

ID:10910
cambio del color de fondo
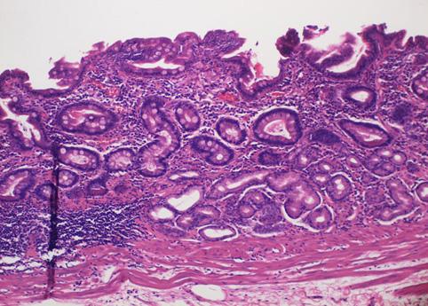
[Image-ID:10910]
clasificación del pacienteTumor Epitelial Maligno/Adenocarcinoma
parte(separada por órganos)estómago(región)/cuerpo
método de exámenMicro
clasificación ectoscópica de tumoresTipo 0(tipo superficial)/Tipo IIb(IIb+III)
diámetro mayor del tumor40 -
grado de penetraciónm
múltiples tumores(en un mismo órgano)ausente
múltiples tumores(en varios órganos)ausente



TOP