Gastrointestinal medical image database select language
japaneseenglishchinesekoreaspanish

Contents

Posted by: Fukuoka Pref., Centro Kyushu de Curaciones de Cáncer
fecha de registro 2009/10/29
Number of image 27
Género masculino
Edad 65-69
Misc 2000-2004's case

ID:11195
cambio del color de fondo
[Image-ID:11195]
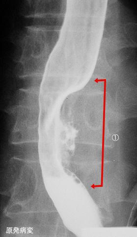
clasificación del pacienteTumor Epitelial Maligno/Carcinoma a Células Escamosas
parte(separada por órganos)esófago/inferior
método de exámenRayos X
clasificación ectoscópica de tumoresTipo 3(Tipo ulcerado de bordes infiltrados)/
diámetro mayor del tumor35 - 40
grado de penetracións(a)
múltiples tumores(en un mismo órgano)ausente
múltiples tumores(en varios órganos)ausente



TOP