about this MIDB
NEWS
Lista de Enfermedades
TOP
>
Lista de Enfermedade...
>
Cáncer Avanzado del ...
>
Cáncer Avanzado del ...
>
Cáncer Avanzado de E...
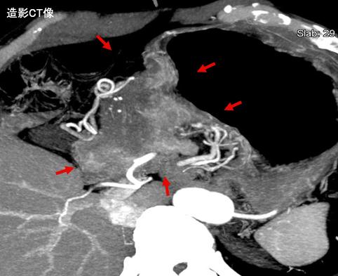
A case of type 4 advanced gastric cancer which developed in the antrum and was diagnosed by multidisciplinary method.
Posted by:
Fukuoka Pref., KYUSHU UNIVERSITY HOSPITAL (KYUSHU UNIVERSITY HOSPITAL)
Gastrointestinal case conference
fecha de registro
2010/03/05
Number of image
14
Género
masculino
Edad
65-69
cambio del color de fondo
[Image-ID:11400]
clasificación del paciente
Tumor Epitelial Maligno/Carcinoma Mucinoso
parte(separada por órganos)
estómago(región)/antro
método de exámen
TAC
clasificación ectoscópica de tumores
Tipo 4(Tipo difusamente infiltrado)/
diámetro mayor del tumor
40 -
grado de penetración
s(a)
múltiples tumores(en un mismo órgano)
ausente
TOP