about this MIDB
NEWS
Lista de Enfermedades
TOP
>
Lista de Enfermedade...
>
Enfermedades - Lesio...
>
Lesión - Enfermedad ...
>
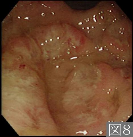
Disentería Amebiana
A case of amebiasis which showed the typical morphologic findings corresponding to the amebic colitis.
Posted by:
Fukuoka Pref., Centro Kyusyu de Atenciones Médicas (平賀聖久先生、原田直彦先生、村中光先生からの提供症例)
fecha de registro
2011/04/15
Number of image
24
Género
masculino
Edad
40-44
cambio del color de fondo
[Image-ID:11698]
clasificación del paciente
Enfermedad Inflamatoria - Ulcerativa/Disentería Amebiana
parte(separada por órganos)
colon/lesión que abarca dos o más regiones del colon
método de exámen
Endoscopia
diámetro mayor del tumor
10 - 14
TOP